Turnit AI Logo

Kidney Health

Model Information

This model is trained on kidney CT scans across four categories—Normal, Cyst, Tumor, and Stone—to automatically analyze and classify renal conditions. It learns distinguishing patterns in tissue structure, density, and shape, enabling accurate detection of abnormalities. The model identifies normal kidneys, fluid-filled cysts, potentially malignant tumors, and hard mineral stones, supporting early diagnosis and clinical decision-making. By interpreting medical imaging consistently and rapidly, the model assists radiologists in screening patients, prioritizing cases, and improving diagnostic accuracy. This AI-driven classifier enhances workflow efficiency and contributes to better kidney disease management.

Model Metrics

Our kidney CT classification model uses a powerful hybrid architecture that combines EfficientNet for high-quality feature extraction and a Swin Transformer for capturing long-range spatial patterns within medical scans. This fusion leverages the strengths of convolutional and transformer-based models, enabling superior representation of Normal, Cyst, Tumor, and Stone classes. Through this optimized architecture, the model achieves over 93% accuracy, 90–95% precision/recall, and an F1-score above 0.92, with an AUC exceeding 0.96. By integrating two of the best-performing vision architectures, the model ensures robust, reliable, and clinically relevant performance for kidney CT image analysis.

Upload Image & Classify the Image

0%


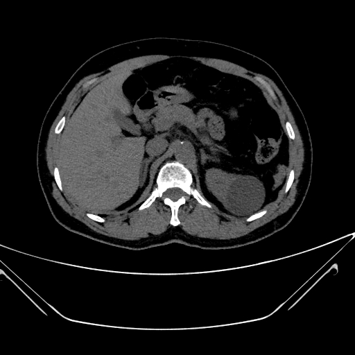
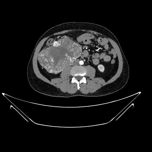
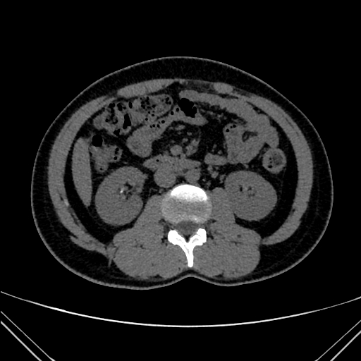
Sample Images for testing

img
Cyst
img
Tumor
img
Stone